Help me to know the genus of parasites

  • We are currently upgrading MFK. thanks! -neo

Fossa

Feeder Fish
Jul 2, 2017
1
0
1
38
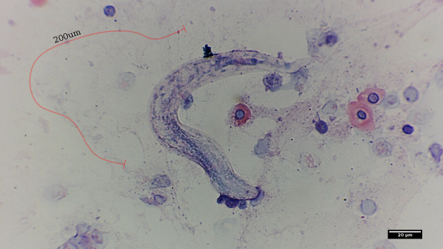
These are nematodes found on the shell of the brain Rhinoptera javanica. Help me to know the genus of parasites.

4х_нематода_скат_28.06.171-sc.png

camera-58dd9-s4c.png

camera-616-sc.png

camera-617-sc.png

DSCN2058.JPG
 
MonsterFishKeepers.com